Genesis Global Group
Genesis Drug Discovery & Development
GD3

You will now be redirected to the GD3 website

Genesis Drug Discovery & Development is a proud member of Genesis Drug Discovery & Development (GD3), a fully integrated CRO providing services to support drug discovery programs of our clients from target discovery through IND filing and managing Phase I-III clinical trials.

Learn more about GD3
Search

Biochemistry & Bioanalytical

Diabetic-Induced Retinopathy

Elevated blood sugar levels, or hyperglycemia, trigger a cascade of detrimental effects, including oxidative stress, endothelial cell damage, and capillary occlusion. This leads to tissue hypoperfusion, elevated Vascular Endothelial Growth Factor (VEGF) levels, neovascularization, and complications like leakage and retinal edema in Diabetic Retinopathy (DR)1. Developing an animal model that accurately replicates the pathogenesis and endpoints of DR is essential for effectively evaluating potential therapeutics at various disease stages.

GD3 specializes in comprehensive DR studies, utilizing validated methods to evaluate disease progression and therapeutic interventions. Our model involves inducing diabetes through a single injection of Streptozotocin, causing disruption and loss of pancreatic beta cells followed by sustained hyperglycemia2. This allows for longitudinal clinical observation as DR evolves. We have designed and validated a robust set of endpoints tailored to assess DR, accommodating diverse sponsor requirements and budgets.

Animal SpeciesBrown Norway Rat
Method of Induction A single intraperitoneal injection of Streptozotocin
Follow up Period Typically, it takes 4-10 weeks for diabetic retinopathy to develop, followed by a variable amount of time depending on the desired disease stage.
Route of intervention Intravitreally or systemic
Readouts
  • In vivo Imaging Optical Coherence Tomography (OCT) – Provides near histologic resolution of retinal layers to quantitatively assess edema and retinal layer thickness changes associated with DR. Fluorescein Funduscopic Angiography – Provides qualitative assessment of areas of major vascular leakage representative of proliferative DR.
  • Other in vivo read-outs – Ophthalmologic examinations by board certified veterinary ophthalmologist
  • Histologic analysis at terminal time point – H&E staining can provide qualitative and quantitative analysis of morphologic changes and provide evidence for pathogenies Immunofluorescence and Immunohistochemistry can provide qualitative analysis of various targets. Evans Blue staining can provide a quantitative analysis of vascular density and leakage on a whole mount of the retina.
  • Other quality control measures – Glucose monitoring, clinical observations, food and water consumption, body weights
Figure 1: Increasing the blood glucose and body weight as two indicators for DR model development.
Figure 2: Increasing the outer nuclear layer thickness (ONL) in OCT Images of STZ-induced vs non-induced animals.
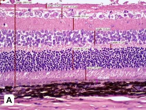
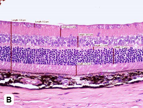
Figure 3: Quantitative image analyses of retinal layers using H&E staining of STZ-induced (A) vs non-induced (B) retina at Day 72 post-induction. An increase in the total thickness of retinal and ONL is found in STZ-induced animals. Magnification 200x)
Figure 4: Increasing the density of retinal superficial vasculature in STZ-induced (A) versus non-induced (B) retina.
Reference:
  • 1. Wang W, Lo ACY. Diabetic Retinopathy: Pathophysiology and Treatments. Int J Mol Sci. 2018 Jun 20;19(6):1816. doi: 10.3390/ijms19061816. PMID: 29925789; PMCID: PMC6032159.
  • 2. Olivares AM, Althoff K, Chen GF, Wu S, Morrisson MA, DeAngelis MM, Haider N. Animal Models of Diabetic Retinopathy. Curr Diab Rep. 2017 Aug 24;17(10):93. doi: 10.1007/s11892-017-0913-0. PMID: 28836097; PMCID: PMC5569142.